Добавь сайт в закладки нажми CTRL+D
+1
+1
1
+1
5
+1
+1
+1
12
+1
1
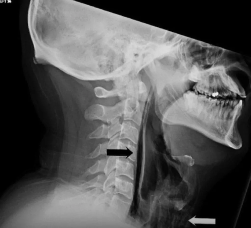
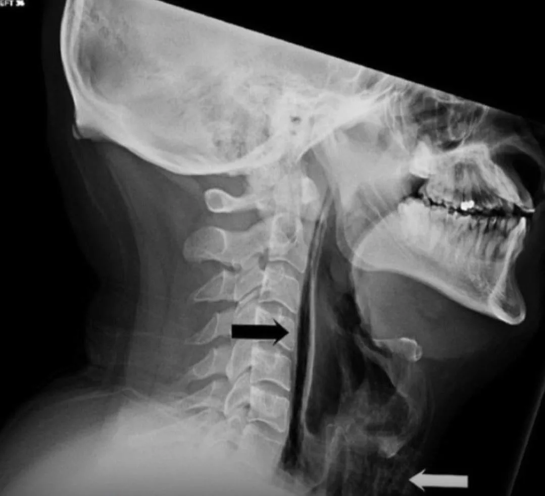
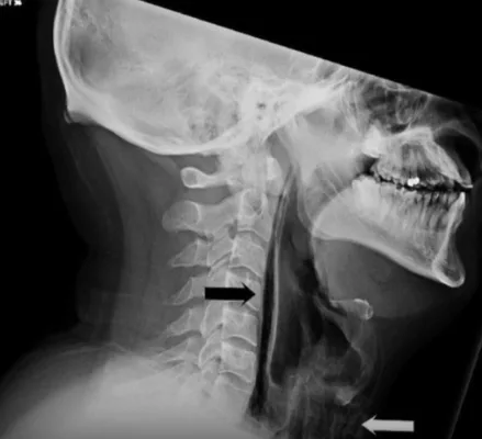
34-летний житель Карелии решил подавить чихание, чтобы не беспокоить окружающих, и крепко зажал нос пальцами. Почти сразу он почувствовал резкую боль в области шеи, которая начала быстро опухать.
Рентген показал серьёзные повреждения — разрыв глотки, а в области шеи скопился воздух перед трахеей. Врачи предупредили, что помимо травм глотки, возможен разрыв барабанной перепонки или даже аневризмы головного мозга.
+1
+1
1
+1
5
+1
+1
+1
12
+1
1
Поделись видео:






