Добавь сайт в закладки нажми CTRL+D
+1
+1
7
+1
+1
1
+1
8
+1
12
+1
1
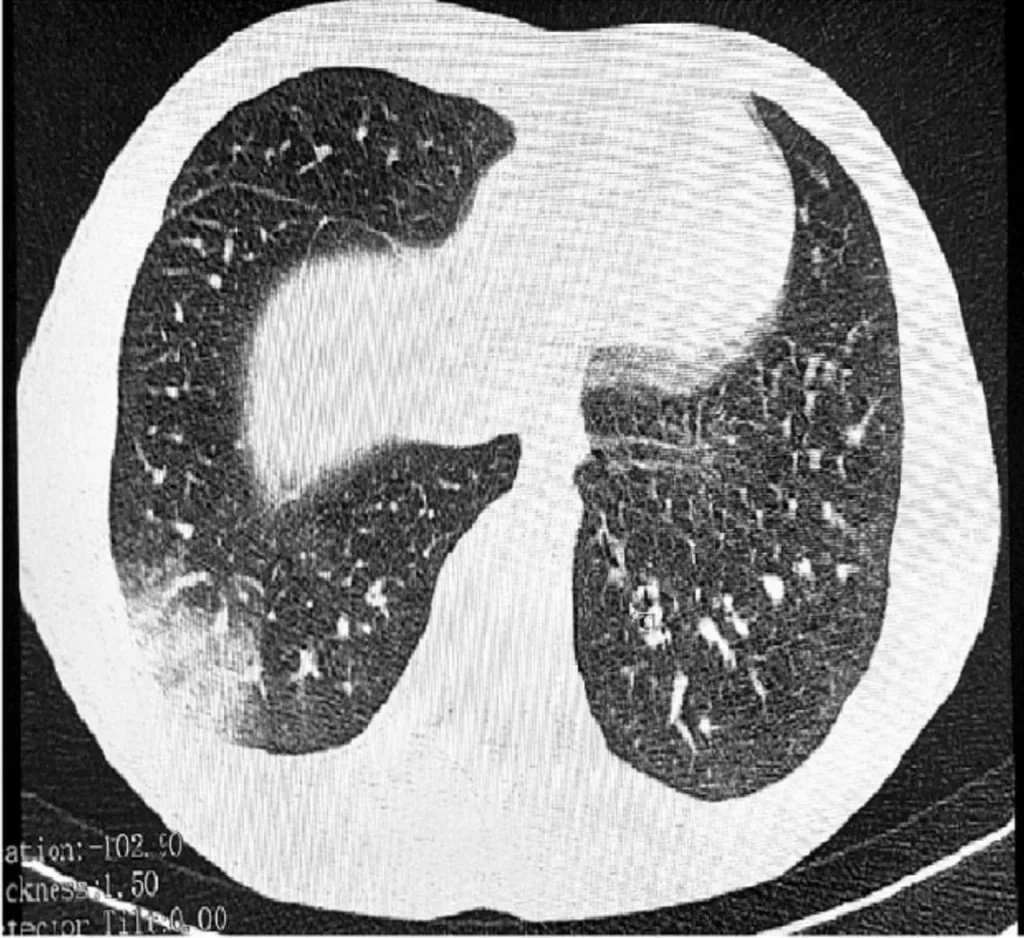
Такой ужасный диагноз получили подростки из Томска, которые фанатели от вейпа и одноразовых сигарет. «Попкорновой» болезнь называют, так как при прослушивании легких они издают треск, как при готовке попкорна.
Пока медицина не научилась бороться с этой болезнью.
+1
+1
7
+1
+1
1
+1
8
+1
12
+1
1
Поделись видео:

